Jak veneers zuby mohou změnit váš úsměv: Praktický průvodce pro češské pacienty

Od Stanislav Příhoda    Zapnuto 16 led, 2026    Komentáře (0)

Jak veneers zuby mohou změnit váš úsměv: Praktický průvodce pro češské pacienty

Veneers Zuby Výpočet Nákladů

Zadejte požadavky, abyste získali odhad nákladů na veneers zuby. Cena se může mírně lišit podle kvality laboratoře a zkušenosti stomatologa.

Zadejte parametry pro výpočet

Chcete mít úsměv, který vás nechce skrýt? Mnoho lidí v Česku se každý den skrývá před zrcadlem, protože se cítí nejistě s barvou, tvarem nebo pozicí svých zubů. A přitom stačí jen několik milimetrů keramiky, aby se celý úsměv změnil. Veneers zuby nejsou jen pro hvězdy nebo bohaté - jsou přístupné i pro každého, kdo chce získat jistotu a pohodlí.

Co jsou vlastně veneers zuby?

Veneers zuby jsou tenké keramické nebo kompozitní obálky, které se přilepí na přední povrch zubů. Nejsou jako korunky - neodstraňují většinu zubní tkáně. Většinou se odstraní jen 0,3 až 0,7 mm povrchu, což je méně než tloušťka lidského vlasu. Tyto obálky se používají k opravě barevných vad, drobných zlomenin, mezer mezi zuby nebo korekce lehce zkřivených zubů.

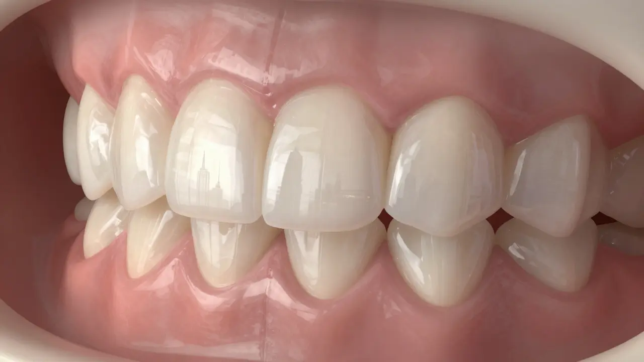
Keramické veneers, které se používají nejčastěji v České republice, jsou odolné, přirozeně vypadají a nezbarvují se. Nejsou jako zuby z plastu - mají světlo, které se odráží stejně jako u přirozeného zubního emailu. To je důvod, proč je většina stomatologů v Brně, Praze nebo Ostravě doporučuje právě keramiku, ne kompozit.

Proč lidé volí veneers zuby místo jiných řešení?

Když se ptáte, proč nezubní bělící, odpověď je jednoduchá: bělení funguje jen na barvu. Pokud máte zuby s vnitřními skvrnami, drobné zlomeniny, nebo mezery, bělení vám nepomůže. A pokud máte zuby, které jsou příliš krátké nebo nepravidelné, bělení je jen zbytečná nákladná zábava.

Veneers zuby řeší víc než jen barvu. Například:

  • Odstraní tmavé skvrny po antibiotikách (jako tetracyklin), které bělení nedokáže ovlivnit
  • Zavřou mezery mezi zuby (diastemy), aniž by musely být noseny ortodontické dráty
  • Ukryjí drobné zlomeniny nebo opotřebení zubního emailu
  • Dají zubům lepší tvar - například zkrátíte příliš dlouhé zuby nebo zvětšíte příliš krátké

Na rozdíl od ortodontie, která trvá roky, veneers zuby se připravují během dvou až tří návštěv. Výsledek je okamžitý. Mnoho pacientů v Brně, kteří si je nechali udělat, říká, že se cítí jako jiná osoba - nejen v pracovním prostředí, ale i v každodenním životě.

Co se děje během léčby?

Proces je jednoduchý, ale přesný. První návštěva je konsultace a plánování. Stomatolog vám ukáže, jak budou zuby vypadat po léčbě - často pomocí digitálního návrhu nebo dočasných modelů. Pak se zubům odstraní tenká vrstva emailu. Toto není bolestivé, ale pro jistotu se použije lokální anestezie, pokud máte citlivé zuby.

Poté se udělá odtisk nebo digitální snímek vašich zubů. Ten se pošle do zubního laboratoře, kde se vyrábí vaše veneers zuby. Výroba trvá obvykle 7-14 dní. V té době dostanete dočasné obálky, které vypadají přirozeně a chrání zuby.

Na druhé návštěvě se dočasné obálky odstraní a trvalé veneers zuby se přilepí. Používá se speciální lepidlo, které se ztvrdne pod světelnou lampou. Po přilepení se kontroluje, jestli se zuby dobře dotýkají, jestli nebrání při žvýkání a jestli vypadají přirozeně. Pokud je potřeba, stomatolog je jemně upraví.

Kdo je vhodným kandidátem?

Není to pro každého. Veneers zuby nejsou vhodné, pokud:

  • Máte závažné kazu, která nebyla vyléčena
  • Máte silnou bruxismus (zubní škrábaní) - může způsobit prasknutí veneers
  • Máte velmi špatnou ústní hygienu - zubní kámen a zánět dásní mohou způsobit, že veneers nebudou držet
  • Máte příliš mnoho zubů, které potřebují opravu - pak je lepší zvážit korunky nebo celkovou rekonstrukci

Nejlepší kandidáti jsou lidé s dobrým zdravím dásní, bez závažných kazu, kteří chtějí jen estetickou úpravu. Pokud máte zuby, které jsou zdravé, ale jen nevypadají přirozeně, veneers zuby jsou ideální volbou.

Tlustý pohled na tenké keramické veneers na zubech s přirozeným odrazem světla.

Na co se musíte připravit?

Po instalaci veneers zuby nejsou „nastavitelné“. Pokud si necháte udělat světle bílé veneers, budou vypadat tak po celý život - a to i, když se vám ostatní zuby zbarví. Proto je důležité přemýšlet o odstínu předem.

Stomatolog vám ukáže několik odstínů - od přirozeně bílého po „filmově“ bílého. Většina lidí volí přirozenější odstín, protože se nevyznačuje. Pokud jste si vždy přáli „bílé zuby jako v reklamách“, můžete si vybrat i jasnější odstín - ale pak je potřeba vědět, že budete muset být opatrní s kávou, červeným vínem nebo tabákem.

Na konci léčby vám stomatolog dá návod, jak se o veneers zuby starat. Důležité je:

  • Čistit zuby dvakrát denně - stejně jako normální zuby
  • Používat jemnou kartáček a neabrazivní zubní pastu
  • Nežvýkat led, ořechy nebo tvrdé bonbóny
  • Používat zubní nit, aby se nezadrhávala jídla mezi zuby
  • Pravidelně navštěvovat stomatologa každých 6 měsíců

Nezapomeňte: veneers zuby nejsou „nezničitelné“. Mohou se poškodit, pokud je používáte jako nástroj - například otevírání lahví nebo kousání tužek. Pokud máte bruxismus, stomatolog vám doporučí noční ochrannou destičku.

Co stojí veneers zuby v Česku?

Cena za jeden veneers zub v České republice se pohybuje od 6 000 do 12 000 Kč, podle materiálu, laboratoře a místa. V Brně nebo Praze jsou ceny obvykle na horním konci, protože se používají kvalitní materiály a zkušení technici. V menších městech můžete najít levnější možnosti, ale nezapomeňte - cena neznamená kvalitu. Důležitá je zkušenost stomatologa a kvalita laboratoře, která veneers vyrábí.

Na rozdíl od bělení, které je většinou nezahrnuté v základním zdravotním pojištění, veneers zuby jsou čistě estetická léčba. To znamená, že je musíte platit z vlastní kapsy. Některé soukromé pojišťovny ale nabízejí částečnou náhradu - je vhodné se zeptat.

Co se stane za 10 let?

Veneers zuby nejsou na celý život. Průměrná životnost je 10-15 let, ale mnoho pacientů má své veneers i 20 let. Záleží na tom, jak je péčí o ně. Pokud se neškrábají, nekousají tvrdé věci a nezneužívají, mohou vydržet dlouho. Pokud se některé poškodí, lze je jednoduše vyměnit - bez nutnosti zasahovat do původního zubu.

Nejčastější důvod, proč se veneers zuby vyměňují, není poškození, ale změna estetického vkusu. Lidé často chtějí trochu jiný odstín nebo jiný tvar - a to je v pořádku. Moderní techniky umožňují výměnu bez poškození původního zubu.

Člověk se dívá do zrcadla, kde jeho dřívější sebepřesvědčení mizí, zatímco nový úsměv září.

Co je lepší: veneers nebo kompozitní plnění?

Kompozitní plnění jsou levnější - cca 2 000-4 000 Kč za zub. Ale nejsou stejné jako veneers. Kompozit se barví, praská a nevydrží tak dlouho. Veneers zuby jsou odolnější, přirozenější a dlouhodobější. Pokud chcete jen malou opravu - například zavřít malou mezeru - kompozit může být vhodný. Ale pokud chcete kompletní změnu úsměvu, veneers jsou lepší volba.

Na rozdíl od kompozitu, který se nanáší přímo na zub, veneers jsou vyrobeny v laboratoři podle vašich zubů. To znamená, že vypadají přesně tak, jak byste si přáli - ne jako „něco, co se přilepilo“.

Co říkají pacienti?

Na sociálních sítích v Česku se objevuje mnoho příběhů. Jeden muž z Ostravy, který se vyhýbal fotkám 15 let, si nechal udělat veneers zuby a po týdnu se zúčastnil svatby své dcery - a na všech fotkách se smál. Žena z Brna, která pracovala v obchodě, říká: „Po veneers jsem se začala ptát, proč jsem se tak dlouho styděla.“

Nejčastější slova, která slyšíte: „Cítím se jako já sama.“ „Už nečekám, až se někdo zeptá, jestli jsem si zuby bělil.“ „Nemusím se skrývat.“

Co dělat dál?

Když se rozhodnete pro veneers zuby, nezačínejte hledáním nejlevnější nabídky. Hledejte stomatologa, který má zkušenosti s estetickou stomatologií. Zeptejte se na předchozí případy - ne na fotografie, ale na vlastní zuby pacientů. Dobrý stomatolog vám ukáže, jak vypadají zuby po léčbě, a nejen jak vypadají v reklamách.

Nejde o to, mít „bílé zuby“. Jde o to, mít úsměv, který vás neznechutňuje. Veneers zuby to umožňují - a to bez dlouhých léčebných procesů, bez ortodontie a bez bolesti.

Nejste jediný, kdo se cítí nejistě. A nejste jediný, kdo se rozhodl změnit to. V České republice už tisíce lidí získalo svůj úsměv zpět - a vy můžete být další.

Jsou veneers zuby bolestivé?

Ne, proces není bolestivý. Během přípravy se odstraní jen tenká vrstva emailu, což je méně než při běžném plnění. Většina pacientů nevnímá žádnou bolest, ale stomatolog může použít lokální anestezii, pokud máte citlivé zuby. Po přilepení se obvykle necítí žádná nepříjemnost.

Můžu jíst, co chci po instalaci veneers zuby?

Ano, ale s opatrností. Veneers zuby jsou odolné, ale nejsou nezničitelné. Vyhněte se kousání tvrdých věcí - jako je led, ořechy, kosti nebo otevírání lahví. Pokud máte bruxismus (zubní škrábaní), je nutné používat noční ochrannou destičku, jinak se veneers mohou poškodit.

Jak dlouho trvá celý proces?

Celý proces trvá obvykle 2-3 návštěvy během 2-3 týdnů. První návštěva je konsultace a příprava, druhá je přilepení. Výroba veneers trvá 7-14 dní, během kterých máte dočasné obálky.

Můžu si vybrat odstín bílého?

Ano, výběr odstínu je součástí plánování. Stomatolog vám ukáže několik odstínů - od přirozeně bílého po „filmově“ bílého. Doporučuje se volit přirozenější odstín, který se neliší od vašich ostatních zubů. Příliš bílé veneers mohou vypadat nepravděpodobně.

Jsou veneers zuby vhodné pro všechny věkové skupiny?

Ne. Nejsou vhodné pro děti a dospívající, protože jejich zuby jsou ještě ve vývoji. Pro dospělé jsou vhodné, pokud mají zdravé zuby a dásně. Pokud máte zubní kámen, zánět dásní nebo kazu, musíte to nejprve vyléčit.