Zubní Lékař Krnov
  • Skloionomerní výplně
  • Implantáty a zdraví
  • Elmex gel
  • Výměna zubní náhrady

Štítek: náhradní zub

Jak se dělá náhradní zub? Celý proces od broušení až po fixaci

Od Stanislav Příhoda    Zapnuto 13 led, 2026    Komentáře (0)

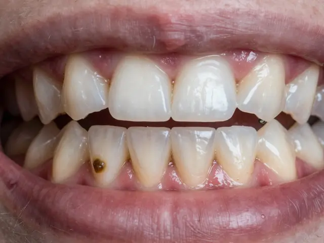
blog-post-image

Náhradní zub se nevyrobí za pár minut. Celý proces začíná broušením, pokračuje výrobou v laboratoři a končí fixací. Zjistěte, jak funguje korunka, most nebo implantát a jak zajistit, aby vydržel déle.

Zobrazit více

Kategorie

  • Zdraví a péče o zuby (192)
  • Zdraví a wellness (30)
  • Estetická stomatologie (28)
  • Zdraví (6)
  • Zdraví a životní styl (6)
  • Zdraví a Krása (5)
  • Zdraví zvířat (4)
  • Zdraví a krása (4)
  • Zdraví a hygiena (3)
  • Zdraví a péče (3)

Nedávný příspěvek

recent-post-image Jak rychle nahradit zub: možnosti a časové rámce v praxi
recent-post-image Jak vybrat nejlepší gumičky na rovnátka pro vaše dítě: praktický průvodce pro rodiče
recent-post-image Křivé zuby: jak je opravit doma bez ortodontie
recent-post-image Je oprava ulomeného předního zubu stojí za investici? Vše, co potřebujete vědět o cenách a možnostech
recent-post-image Jak předejít a odstranit zubní plak: Kompletní průvodce

Menu

  • O nás
  • Obchodní podmínky
  • Zásady ochrany soukromí
  • GDPR
  • Kontakt

© 2026. Všechna práva vyhrazena.