Jak jsou číslované zuby? Celý systém zubního značení vysvětlený jednoduše

Od Stanislav Příhoda    Zapnuto 17 led, 2026    Komentáře (0)

Jak jsou číslované zuby? Celý systém zubního značení vysvětlený jednoduše

Zubní číslovací převodník

Když jste naposledy u zubního lékaře slyšeli, že vám „číslo 16“ potřebuje plombu, nebo že „zub 37“ je na odstranění, možná jste se zamysleli: číslované zuby - co to vlastně znamená? Proč neříkají prostě „horní pravý molár“? A proč je to vůbec číslované? Tady je odpověď, kterou potřebujete - bez složitých výrazů, jen jasně a po české.

Proč vůbec čísla?

Zuby nejsou jako prsty, kde máte jen 10 a každý má své jméno. V ústech máte 32 zubů - a každý má jinou tvar, polohu a funkci. Kdyby lékaři používali jen slova jako „horní levý řezák“ nebo „dolní pravý třetí molár“, všechno by se poměrně rychle zmatlo. Představte si, že musíte popsat každý zub třemi až pěti slovy pokaždé, když se bavíte o plombování, výtažku nebo ortodontii. To by trvalo věčnost. Čísla jsou zkratka - přesná, rychlá a stejná po celém světě.

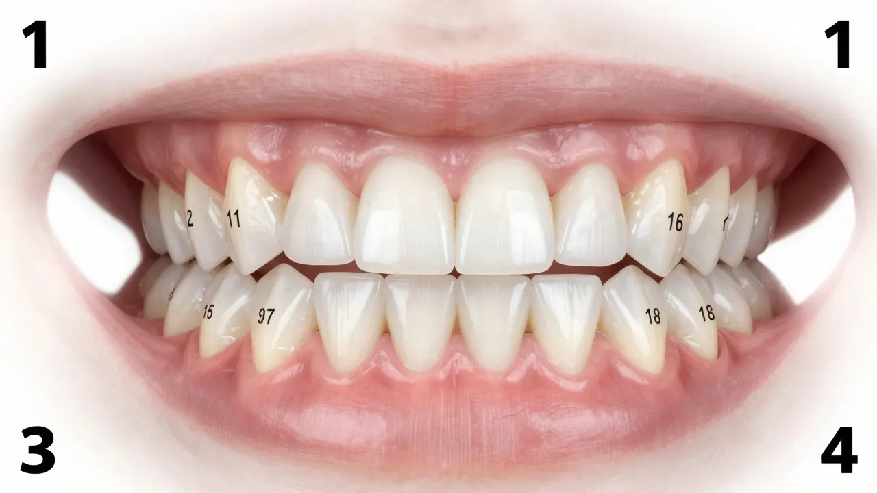
Nejčastěji používaný systém v České republice i ve většině Evropy je FDI systém - zkratka pro Fédération Dentaire Internationale. Ten používá dvoumístná čísla. První číslo říká, v jaké části ústní dutiny zub je, druhé číslo říká, který zub v té části je.

Jak funguje FDI systém?

Představte si, že vaše ústa jsou rozdělena na čtyři kvadranty - jako čtvrtiny koláče:

  • 1 - horní pravá část (pravá maxilární)
  • 2 - horní levá část (levá maxilární)
  • 3 - dolní levá část (levá mandibulární)
  • 4 - dolní pravá část (pravá mandibulární)

A teď každý kvadrant má osm zubů, číslovaných od středu k boku:

  • 1 - střední řezák
  • 2 - boční řezák
  • 3 - klínový zub (kynčík)
  • 4 - první malý molár (přední molár)
  • 5 - druhý malý molár (zadní molár)
  • 6 - první velký molár (šestka)
  • 7 - druhý velký molár (sedmička)
  • 8 - třetí velký molár (osmička - moudrostní zub)

Takže když řeknou „zub 16“, znamená to: horní pravá část (1) a první velký molár (6) - tedy vaše pravá horní šestka. A „37“ je dolní levá sedmička.

Co když mám jen 28 zubů?

Nejste sami. Mnoho lidí má odstraněné moudrostní zuby (osmičky). To neznamená, že systém přestává platit. Pokud vám osmičky chybí, zub 18, 28, 38 nebo 48 prostě není přítomen - ale číslo se stále používá, aby lékař věděl, že tam někdy byl. V záznamech se píše „18 odstraněn“ nebo „28 nevyrůstl“. To je důležité, když se později dělá rentgen nebo plánuje ortodoncie.

Někdy se stává, že někdo má přebytečný zub - tzv. supernumerární zub. Ten se taky čísluje podle své polohy. Například přebytečný řezák mezi horními středními řezáky dostane číslo 11.1, ale to už je pokročilá věc, kterou lékaře řeší sami.

Kruhový diagram zubů s čísly 11–48 podle FDI systému, barevně rozlišené kvadranty.

Co je to „číslo 8“? Proč je tak důležitý?

Třetí molár - osmička - je ten, který se většinou objeví mezi 17. a 25. rokem života. Proto se mu říká „moudrostní zub“. Ale není to proto, že by vás učil moudrosti. Je to proto, že vyrůstá, když už jste „dospělí“. A právě proto je tak častým problémem. Většina lidí nemá v ústech dost místa, aby osmička vyrůstala správně. Vyrůstá šikmo, zůstává zakopaná, nebo způsobuje bolest a infekci.

Když lékař říká „musíme vyndat 38“, ví přesně, o který zub jde - a nejen že to je dolní levý, ale že je to ten poslední, který měl šanci vyrůst. V záznamech to znamená, že jste měli problém s tímto konkrétním zubem, a ne jen „nějaký zub vlevo dole“.

Je jen jeden systém?

Ne. V USA se často používá systém Universal Numbering System, kde se zuby číslují od 1 do 32, začínaje horním pravým molařem a pokračují po obvodu úst. Ale v Česku, Slovensku, Německu, Francii a většině Evropy se používá FDI. Většina zubních záznamů, rentgenů a lékařských programů v ČR je nastavena na FDI. Když přijdete na ordinaci, lékař nebo zubní asistentka vám řekne „číslo 25“ - a víte, že jde o horní levý druhý malý molár.

Nezapomeňte: pokud se někdo ptá na „číslo 11“, nejde o váš první zub, ale o horní pravý střední řezák. A pokud je v záznamu „46“, je to dolní pravá šestka. Tady je přehled, který si můžete zapamatovat:

Čísla zubů podle FDI systému
Číslo Zub Poloha
11 střední řezák horní pravá
12 boční řezák horní pravá
13 klínový zub horní pravá
14 první malý molár horní pravá
15 druhý malý molár horní pravá
16 první velký molár (šestka) horní pravá
17 druhý velký molár (sedmička) horní pravá
18 třetí velký molár (osmička) horní pravá
21 střední řezák horní levá
26 první velký molár (šestka) horní levá
36 první velký molár (šestka) dolní levá
37 druhý velký molár (sedmička) dolní levá
46 první velký molár (šestka) dolní pravá
47 druhý velký molár (sedmička) dolní pravá
Dentista ukazuje na rentgenový snímek s čísly zubů 16 a 37, pacient v křesle.

Proč to vůbec umět?

Ne musíte si pamatovat všechna čísla. Ale když vám lékař řekne „máte kariés na 16“ a vy víte, že to je ta šestka, která vám dělá problémy, už to není jen nějaké číslo. Je to konkrétní zub. A když se budete ptát na další léčbu, budete vědět, o čem mluvíte. Když si přinesete záznam z jiné kliniky, budete schopni si ho přečíst. A když se budete ptát na zubní pojistku, víte, že nejde jen o „nějaký zub“, ale o přesnou pozici.

Je to jako když se naučíte, že „Květná“ je ulice, kde bydlíte - ne jen „tam, kde je ten dům s červenou střechou“. Čísla vám dávají přesnost. A v medicíně je přesnost důležitá.

Co když mám dětské zuby?

Děti mají 20 mladých zubů - a ty se číslují jinak. Používá se systém, kde se čísla začínají od 51 (horní pravý střední řezák) a končí 85 (dolní pravý střední řezák). Ale to už se používá jen u dětské stomatologie. Pokud jste dospělý, tak se vám budou hovořit čísla 11 až 48.

Když dítě přijde na vyšetření, lékař řekne „55 má kariés“ - a ví, že jde o první mladý molár v horní pravé části. Ale to už je jiná historie. Vy jako dospělý člověk potřebujete znát čísla 11-48.

Závěr: Nejde o pamatování, ale o pochopení

Nejde o to, abyste si zapamatovali všechna 32 čísla. Jde o to, abyste pochopili, že každý zub má své místo a své číslo - a že to není náhoda. Když víte, že „16“ je vaše šestka, můžete lépe komunikovat s lékařem. Když víte, že „37“ je ta sedmička, která vás bolela, můžete říct: „To je ten zub, který mi pořád dělá problémy.“

Čísla nejsou tajemství. Jsou jen nástroj. A když ho pochopíte, už vás nezmate, když vám lékař řekne „číslo 46“.

Proč se zuby číslují a ne jen pojmenovávají?

Zuby se číslují, protože je jich 32 a každý má jinou polohu a funkci. Používání názvů jako „horní levý druhý molár“ by bylo příliš pomalé a zmatené, zejména při rychlém zápisu nebo v rentgenových záznamech. Čísla jsou přesná, univerzální a rychlá - a to je důvod, proč je lékaři používají.

Co znamená číslo 16?

Číslo 16 označuje první velký molár (šestku) v horní pravé části ústní dutiny. Je to první zub za klínovým zubem, který má čtyři vrcholky a slouží k mletí potravy.

Jsou čísla zubů stejná po celém světě?

Ne. V České republice a většině Evropy se používá FDI systém s dvoumístnými čísly. V USA se používá Universal Numbering System, kde jsou zuby číslovány od 1 do 32. Ale v zahraničních záznamech se často uvádí oba systémy, aby se zabránilo nedorozuměním.

Co když mi chybí osmička? Stále se čísluje?

Ano. I když vám osmička chybí, zůstává její číslo (např. 18, 28, 38 nebo 48) v záznamech. Lékař tam napíše „odstraněn“ nebo „nevyrůstl“, aby věděl, že tam někdy byl. To je důležité pro plánování léčby nebo případné implantace.

Můžu si čísla zubů zapamatovat samotný?

Ano, ale není potřeba si pamatovat všechna 32 čísla. Stačí si zapamatovat, jak funguje systém: první číslo je kvadrant (1-4), druhé je pozice od středu (1-8). Například 36 je dolní levá šestka - kvadrant 3 (dolní levá) a pozice 6 (první velký molár). S tímto pravidlem si můžete čísla libovolného zubu spočítat.