Jak se pozná na rentgenu karies? Průvodce pro pacienty

Od Stanislav Příhoda    Zapnuto 18 pro, 2025    Komentáře (0)

Jak se pozná na rentgenu karies? Průvodce pro pacienty

Rizikový analyzátor karies

Analyzátor rizika karies

Zjistěte, jak velké je vaše riziko vzniku karies na základě vaší ústní hygieny, stravy a dalších faktorů. Nástroj vám pomůže rozhodnout, zda je potřeba navštívit zubaře nebo zvýšit péči o zuby.

Vaše výsledky

Vaše riziko karies je:

Na rentgenu se karies neobjeví jako černá díra, jak si mnoho lidí představuje. Je to spíš jemná změna v hustotě zubní tkáně, kterou vidí jen odborník. Pokud máte bolest, citlivost nebo jen obavy, že byste mohli mít karies, rentgen je klíčový nástroj, který ukáže, co oči nevidí. A právě o tom, jak se karies na rentgenu projevuje, se dnes pojedná.

Co vlastně vidíte na rentgenovém snímku?

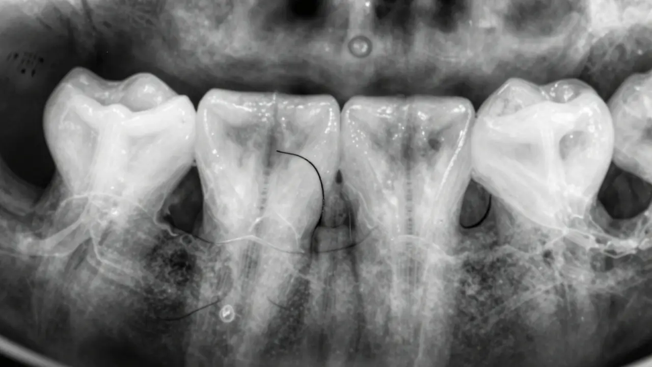
Zuby na rentgenu vypadají jako světlé obrazce, protože jsou složeny z hustého minerálu - hydroxyapatitu. Tento materiál blokuje rentgenové paprsky, takže na snímku zůstávají bílé nebo šedé. Čím hustší je tkáň, tím světlejší je její obraz. Když se zubní kaz začne rozvíjet, mineralizovaná struktura zubu se rozpadá. Místo, kde došlo ke ztrátě minerálů, propouští více paprsků - a na snímku to vypadá jako tmavší skvrna.

Tato tmavá oblast není vždy černá. Často je jen o něco tmavší než okolní zub. Pokud je karies malý a na začátku, může být vidět jen jako tenká čára mezi dvěma zuby - právě tam, kde se často ukládá plak a kde čistění zubním kartáčkem nestačí. To je ten tzv. mezizubní kaz, který je nejčastější formou karies u dospělých.

Proč je mezizubní kaz tak obtížný na zjištění?

Mezizubní karies začíná pod povrchem zubu, kde se neobjeví žádná viditelná díra. Oči zubaře nebo vás samotného to nezjistí. Dokonce i zubní nitě mohou jen podezřívat, že je tam něco špatně. Až rentgen odhalí, že se mineralizace zubu v místě kontaktu mezi zuby zmenšila - a to je první známka karies.

Na rentgenovém snímku se mezizubní karies projevuje jako široká nebo úzká tmavá linie, která se táhne od povrchu zubu směrem do jeho nitra. Pokud je ještě jen v emalové vrstvě, zubří zubař může doporučit jen lepší hygienu a fluoridovou péči. Pokud už sahá do dentinu, je třeba vyplnit. A pokud se blíží k zubnímu nervu, může být potřeba kořenová léčba.

Rentgeny - jaké typy se používají a co ukazují?

Nejčastěji se při diagnostice karies používají dva typy rentgenů:

  • Paralelní (bitewing) rentgen - to je ten, kde držíte malý papírek s filmem mezi zuby. Ten ukazuje horní a dolní zuby najednou, a hlavně - jejich kontaktové plochy. Tady se vidí 90 % mezizubních kazů. Je to základní snímek, který se dělá při každé preventivní prohlídce.
  • Periapikální rentgen - ukazuje celý zub od špičky kořene až po vrchol korunky. Používá se, když se podezřívá karies hluboko u kořene, nebo když je potřeba zkontrolovat, jestli kaz dosáhl na nerv.

Moderní zubní ordinace už téměř všechny snímky dělají digitálně. Tyto snímky mají o 80 % nižší dávku záření než staré filmové a umožňují zubaři zvětšovat obraz, upravovat kontrast a zvýrazňovat tmavé oblasti. To znamená, že i velmi malé počáteční karies se dají detekovat dříve, než se stane problémem.

Průřez zubem s postupem karies z emalové vrstvy do dentinu, znázorněný tmavou klínovitou oblastí.

Co se na rentgenu může jevit jako kaz, ale není?

Není každá tmavá skvrna na rentgenu karies. Některé věci se mohou podobat, ale mají jiný původ:

  • Staré plomby nebo zubní náhrady - některé materiály, jako amalgám, vypadají na rentgenu jako tmavé skvrny, ale jsou na povrchu, ne uvnitř zubu.
  • Zubní kamen - zvláště pokud je pod dásní, může vypadat jako tmavá hromádka, ale má jiný tvar a nezakřivuje se podle tvaru zubu.
  • Neúplné vyplnění nebo mezery - pokud je plomba špatně zhotovená, může zůstat mezera, která vypadá jako tmavá linie. To ale není kaz, jen chyba v léčbě.
  • Stárnutí zubu - s věkem se dentin ztmavuje a může být větší než u mladších lidí. To není patologické, jen fyziologická změna.

Zubař tedy nevidí jen tmavou skvrnu - sleduje tvar, umístění, velikost, a hlavně - jak se ta oblast chová vůči okolní tkáni. Pokud je tmavá linie ostrá a rovnoměrně se rozšiřuje směrem do zubu, je to karies. Pokud je nepravidelná, okrajová nebo jen na povrchu, je to něco jiného.

Kdy je rentgen opravdu nutný?

Není potřeba dělat rentgen každý rok. Pokud máte dobré zuby, nejedlá sladkosti a čistíte si zuby dva krát denně, může stačit rentgen jednou za dva až tři roky. Ale pokud:

  • často máte bolesti nebo citlivost na studeno a horko,
  • vidíte na zubech tmavé skvrny nebo bílé skvrny (první známky demineralizace),
  • máte dříve vyplněné zuby nebo korunky,
  • nebo jste v rizikové skupině - třeba kvůli sušení úst z léků nebo chemoterapii -

…potom rentgen může být potřeba každých 6-12 měsíců. Zubař si vždy zvolí frekvenci podle vašeho individuálního rizika. Není to „obecný pravidlo“, ale „osobní strategie“.

Sada digitálních rentgenových snímků s různými stádii karies a zubními plombami.

Co dělat, když rentgen ukázal karies?

Když rentgen odhalí karies, neznamená to, že je potřeba okamžitě vyplnit. Zubař se podívá na:

  • Velikost - je to jen tenká čára nebo už velká díra?
  • Hloubku - zda je ještě v emalové vrstvě nebo už v dentinu.
  • Tempo - jestli je kaz aktivní (roste) nebo zastavený (nechává se v klidu).

Pokud je kaz malý a ještě v emalové vrstvě, může být možné ho zastavit. Stačí:

  • čistit zuby dvakrát denně fluoridovou pastou,
  • používat fluoridové polevky nebo gel,
  • omezit sladkosti a nápoje s cukrem,
  • pravidelně navštěvovat zubaře každé 6 měsíců.

Pokud už kaz sahá do dentinu, musí se vyplnit. Nečekat. Dentin je měkčí než emal, a kaz se tam šíří rychleji - někdy za několik měsíců. Čím dříve to vyplníte, tím menší bude plomba a tím větší šance, že zub zůstane celý.

Je rentgen bezpečný?

Digitální zubní rentgen má dávku záření přibližně 0,005 mSv na jeden snímek. To je méně než 1 % denní přírodní pozadové expozice, kterou dostáváte z půdy, kosmického záření nebo letadla. Jeden bitewing rentgen je tedy ekvivalentní asi 1 hodině letu. Pokud děláte rentgen jednou ročně, vaše celková expozice je nižší než při běžné cestě do zahraničí.

Bezpečnostní opatření jsou standardní: vždy se dává olovený přesívka, která chrání štítnou žlázu a hrudník. U těhotných žen se rentgen dělá jen v případě nutnosti - ale i pak je riziko nulové, pokud je použita správná ochrana.

Co si pamatovat?

  • Karies na rentgenu nevypadá jako černá díra - je to jemná tmavá změna ve struktuře zubu.
  • Mezizubní kaz je nejčastější typ a na rentgenu se projevuje jako tmavá čára mezi zuby.
  • Ne každá tmavá skvrna je kaz - zubař rozlišuje přes tvar, polohu a růst.
  • Digitální rentgen je bezpečný, rychlý a přesný - dělejte ho podle potřeby, ne podle kalendáře.
  • Malý kaz lze zastavit. Velký kaz musí být vyplněn - čím dříve, tím lépe.

Nečekáte, až vás bolí zub. Když se rentgen ukáže jako nástroj, který vám pomůže zachovat zuby na celý život, není to vůbec špatná investice. Stačí jít na prohlídku - a nechat si říct, co je skryté v zubech.