Zubní Lékař Krnov
  • Skloionomerní výplně
  • Implantáty a zdraví
  • Elmex gel
  • Výměna zubní náhrady

Tag: parodontóza

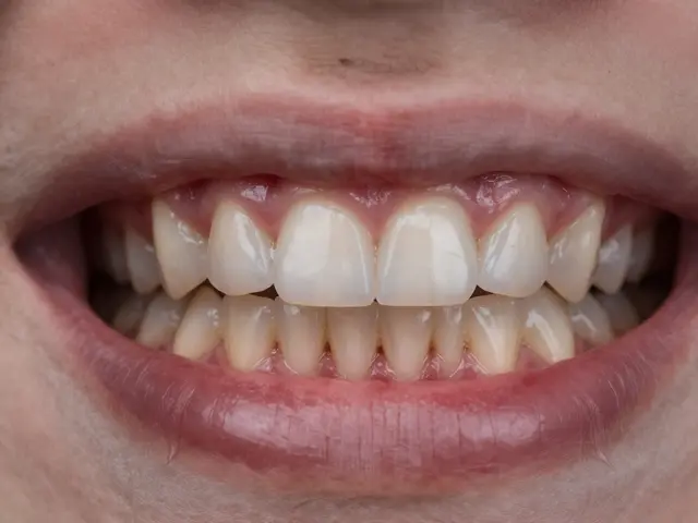
Jaké typy zubů jsou nejčastěji postiženy parodontózou? Všechno, co potřebujete vědět

Od Stanislav Příhoda    Zapnuto 25 pro, 2025    Komentáře (0)

blog-post-image

Spodní řezáky a moláry jsou nejčastěji postiženy parodontózou kvůli jejich anatomii a těžkému přístupu pro čištění. Zjistěte, proč a jak jim předcházet, aby jste zubům zabránili ztrátě.

Zobrazit více

Kategorie

  • Zdraví a péče o zuby (181)
  • Zdraví a wellness (29)
  • Estetická stomatologie (22)
  • Zdraví (6)
  • Zdraví a životní styl (6)
  • Zdraví a Krása (5)
  • Zdraví zvířat (4)
  • Zdraví a krása (4)
  • Zdraví a hygiena (3)
  • Zdraví a péče (3)

Nedávný příspěvek

recent-post-image Jak poznat hluboký kámen na zubech - příznaky a co s ním
recent-post-image Jak se liší typy zubů u dětí a dospělých? Přehled mléčných a trvalých zubů
recent-post-image Jaké vitamíny na nervy zubu? Nejúčinnější látky pro uklidnění zubního nervu a podporu hojení
recent-post-image Praskliny na zubech: Jaká jsou rizika a co s nimi dělat?
recent-post-image Nasazovací zuby: Jak se s nimi cítit pohodlně a přizpůsobit se každodennímu životu

Menu

  • O nás
  • Obchodní podmínky
  • Zásady ochrany soukromí
  • GDPR
  • Kontakt

© 2026. Všechna práva vyhrazena.