Jaké typy zubů jsou nejčastěji postiženy parodontózou? Všechno, co potřebujete vědět

Od Stanislav Příhoda    Zapnuto 25 pro, 2025    Komentáře (0)

Jaké typy zubů jsou nejčastěji postiženy parodontózou? Všechno, co potřebujete vědět

Evaluace rizika parodontózy

Nízké riziko je klíčem k zachování zubů a zdravých dásní. Parodontóza se nevyhnete jen tím, že nekouříte a nejíte cukr. Musíte se o zuby starat – a to nejen ty, které vidíte. Ty, co jsou dole, jsou nejdůležitější.

Kroky pro posouzení Vašeho rizika

Parodontóza není jen zánět dásní. Je to pomalý, ale neústupný proces, který postupně ničí tkáně, které udržují zuby na svém místě. A i když se mnozí myslí, že to postihuje všechny zuby stejně, není to pravda. Některé zuby jsou mnohem více ohroženy než jiné. Které to jsou a proč?

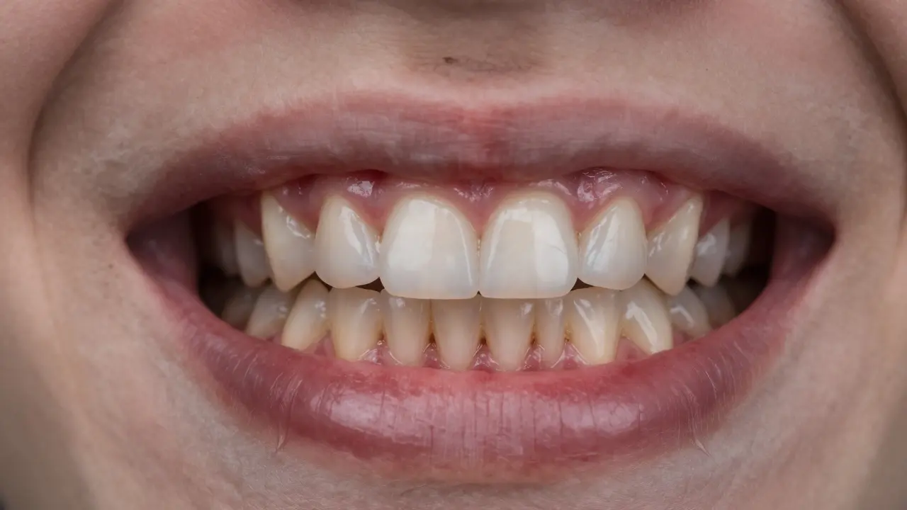
Nejčastěji postižené zuby: spodní řezáky a moláry

Nejvíce parodontóza postihuje spodní řezáky a spodní moláry. Proč právě ty? Je to otázka anatomie a praxe. Spodní řezáky mají krátké kořeny a jsou umístěny v oblasti, kde se snadno hromadí zubní kámen. Dále se zde vyskytuje méně krevního oběhu ve srovnání s jinými zuby, což zpomaluje přírodní hojení. Když se tam začne hromadit plak, tělo se s tím bojuje, ale často příliš pozdě.

Spodní moláry - ty, co jsou nejzadě - jsou další obětí. Jsou těžko dostupné pro čištění, i když používáte klasickou kartáček. Často zde zůstávají zbytky jídla, které se přeměňují na kyseliny a způsobují zánět. V kombinaci s kouřením nebo diabetem se zánět rozšíří rychleji a hlouběji - až do kosti, která zub drží.

Naopak horní řezáky a přední zuby jsou méně zranitelné. Mají delší kořeny, lepší přístup pro čištění a častěji se podílejí na činnosti jazyka, který je přirozeně čistí. To neznamená, že je parodontóza nezasáhne - jen že se tam objeví později a pomaleji.

Proč se parodontóza šíří od spodních zubů?

Je to o více než jen o umístění. Spodní čelist má menší objem a zuby jsou v ní blíž k sobě. To znamená, že prostor mezi zuby je menší a plak se tam snadněji usazuje. Kromě toho sliny, které pomáhají neutralizovat kyseliny, se v dolní části ústní dutiny pohybují pomaleji. V horní části se sliny snadněji rozlévají a částečně „pláchnou“ zubní povrchy.

Studie z Univerzity v Hamburku (2023) ukázaly, že u 78 % pacientů s pokročilou parodontózou byly první známky ztráty kosti přesně v oblasti spodních řezáků a prvních molárů. To není náhoda - je to výsledek kombinace fyzikálních podmínek a lidského chování. Lidé často zapomínají čistit tyto zuby zevnitř, protože se na ně nedívají, když se dívají do zrcadla.

Co se stane, když parodontóza postihne tyto zuby?

Když se zánět rozšíří do kosti, zub začne být nepřirozeně pohyblivý. Nejprve jen při škrábání, pak i při běžném kousnutí. V některých případech se zub přesune do strany - například spodní řezák se začne vychylovat dopředu. To není jen estetický problém. To je předzvěst ztráty.

Když se kost kolem zubu rozpadne, není možné ji obnovit jen čištěním. Potřebujete chirurgický zákrok - nebo zub ztratíte. Většina lidí si toho nevšimne, dokud nezačnou cítit, že zub „je volný“. A pak je často příliš pozdě.

Parodontóza není jako káva - nemůžete ji „odčistit“ poškození. Kost, kterou ztratíte, se nevrátí. Proto je důležité zachytit problém dříve - a to zrovna tam, kde se začíná: u spodních řezáků a molárů.

Příčný řez dolní čelisti ukazující krátké kořeny a hromadění plaku.

Co můžete dělat, abyste tyto zuby chránili?

Nejúčinnější způsob, jak zabránit ztrátě těchto zubů, je pravidelné a správné čištění. Ale ne jen kartáčkem. Používejte mezi zuby nit nebo mezizubní kartáček - zvláště u spodních zubů. Většina lidí si myslí, že kartáček stačí. Ale v mezizubních prostorech se plak tvoří rychleji než na povrchu.

Navíc je důležité jít na profesionální čištění alespoň jednou za rok. Parodontolog může odstranit kámen, který jste neviděli - a který už neodstraníte doma. Pokud máte rizikové faktory - kouření, cukrovka, stres - měli byste chodit každých šest měsíců.

Nezapomínejte na jazyk. Ten je zdrojem bakterií, které se přesouvají na zuby. Čištění jazyka kartáčkem nebo jazykovým škrabkou snižuje množství patogenních mikroorganismů o 30-50 %.

Největší chyba? Čekat, až bolí. Parodontóza nebolí, dokud není příliš pozdě. Pokud vidíte, že se Vám dásně odstupují od zubů, nebo že zuby vypadají delší - to je signál. Nečekejte na krvácení. To už je pozdě.

Když už máte parodontózu - co dál?

Neznamená to, že ztratíte všechny zuby. Dnes existují metody, které mohou zastavit pokročilý zánět. Základ je však stejný: odstranění plaku a kamenů pod dásněmi. To se dělá pomocí skrabení a vyhlazování kořenů - procedury, která se dělá pod místním anestetikem a trvá několik návštěv.

Pokud je kostní ztráta větší, může lékař doporučit regenerativní léčbu - například použití biologických materiálů, které podporují růst nové kosti. To není zázrak, ale může zachránit zub, který by jinak musel být vyjmut.

Ve 70 % případů, kdy pacienti následují doporučený plán péče, se zánět zastaví a zuby zůstanou na svém místě. Klíč je v pravidelnosti. Ne v jedné návštěvě. V každých šesti měsících.

Člověk se dívá do zrcadla, kde je v odrazu vidět skryté poškození zubů.

Co dělat, když už zub ztratíte?

Chybějící zub není jen problém vzhledu. Zbytek zubů se začne přesouvat - zub naproti se vysouvá, sousední se naklánějí. To vytváří mezery, kde se hromadí plak. A to zase zhoršuje parodontózu na ostatních zubech.

Nejlepší řešení je náhrada implantátem. Ale i to vyžaduje zdravé dásně. Pokud máte aktivní zánět, implantát nepřežije. Nejprve musíte zastavit parodontózu. A to je právě ten důvod, proč je důležité zachytit problém u spodních zubů dříve, než se rozšíří.

Nejčastější chyby, které zhoršují stav

  • Čištění jen kartáčkem - bez nitě nebo mezizubních kartáčků
  • Čekání, až začne krvácet dásně - to je pozdní příznak
  • Ignorování kouření - kouření zvyšuje riziko ztráty zubů o 70 %
  • Nepravidelné návštěvy u stomatologa - čištění každých 12 měsíců nestačí, pokud máte riziko
  • Myšlenka, že „starší lidé to mají“ - parodontóza může postihnout i 25letého, pokud má špatnou hygienu

Co si pamatovat?

Parodontóza nečeká. Postupuje tiše. A nejvíce ohrožené zuby jsou ty, které si myslíte, že „nejsou důležité“ - spodní řezáky a moláry. Nejde o to, jak často si čistíte zuby. Jde o to, jestli čistíte ty správné zuby správně. Pokud si nejste jistí, jak správně čistit mezizubní prostory, dejte si vysvětlit od zubní hygieničky. To je levnější než ztráta zubu.

Zub, který ztratíte kvůli parodontóze, se nevrátí. Ale pokud začnete dělat věci správně teď - můžete je všechny zachovat.

Proč jsou spodní řezáky nejvíce ohroženy parodontózou?

Spodní řezáky mají krátké kořeny, menší krevní oběh a jsou těžko dostupné pro čištění. Plak se tam snadno hromadí, protože se nečistí dostatečně zevnitř a sliny tam nepláchnou tak dobře jako v horní části úst. To vytváří ideální prostředí pro bakterie, které ničí dásně a kost.

Může parodontóza postihnout jen jeden zub?

Ne, parodontóza je systémové onemocnění. Pokud se objeví u jednoho zubu, znamená to, že bakterie jsou přítomny i jinde. Ale nejprve se projeví tam, kde je největší riziko - obvykle u spodních řezáků a molárů. Pokud nezastavíte zánět, postupně se rozšíří na další zuby.

Je parodontóza dědičná?

Ano, některé lidé mají genetickou predispozici k silnějšímu zánětu dásní. Ale genetika sama o sobě nemůže způsobit parodontózu. Pokud máte rizikové geny, ještě více záleží na hygieně. Správné čištění může zastavit nemoc, i když máte dědičnou náchylnost.

Jaký je rozdíl mezi gingivitidou a parodontózou?

Gingivitida je jen zánět dásní - je reverzibilní. Parodontóza je pokročilejší forma, kdy se zánět rozšíří na kost a vaziva, která drží zub. Kost se ztrácí a zub se začíná hýbat. Gingivitida může přejít v parodontózu, pokud ji nelečíte.

Můžu parodontózu zastavit jen domácí hygienou?

Pokud je parodontóza v počáteční fázi, může pomoci perfektní domácí hygiena - ale jen pokud je doplněna o profesionální čištění. Když už je kámen pod dásněmi nebo se začíná ztrácet kost, domácí čištění nestačí. Potřebujete lékařský zákrok, jinak se nemoc bude zhoršovat.

Parodontóza se nevyhnete jen tím, že nekouříte a nejíte cukr. Musíte se o zuby starat - a to nejen ty, které vidíte. Ty, co jsou dole, jsou nejdůležitější.