Jak poznat hluboký kámen na zubech - příznaky a co s ním

Od Stanislav Příhoda    Zapnuto 26 úno, 2026    Komentáře (0)

Jak poznat hluboký kámen na zubech - příznaky a co s ním

Nástroj pro kontrolu hlubokého kamene na zubech

Tento nástroj vám pomůže zjistit, zda můžete mít hluboký kámen na zubech. Odpovězte na následující otázky a získáte rady, co dělat dál.

Výsledek

Pojďte na vyšetření u stomatologa. Váš výsledek ukazuje, že máte možnost hlubokého kamene na zubech.

Důležité radu: Hluboký kámen na zubech je skrytá hrozba, která může pomalu ničit vaše zuby a dásně. Je to neviditelný útočník, který se tvoří pod dásněmi a může způsobit nevratnou škodu. Některé příznaky jsou:

  • Krvácení dásní při čištění zubů
  • Červené, otoklé dásně
  • Zápach z úst, který nezmizí
  • Pocit cizího tělesa mezi zuby
  • Volné zuby

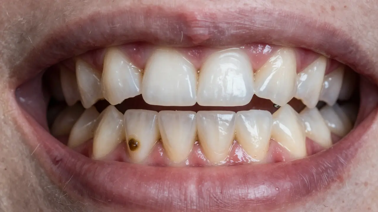
Hluboký kámen na zubech není jen estetický problém. Je to skryté hrozba, která může pomalu ničit vaše zuby a dásně, aniž byste si toho vůbec všimli. Mnoho lidí si myslí, že kámen je jen ta hrubá, žlutá vrstva, kterou vidí ve zrcadle - ale to je jen vrchol ledovce. Ten pravý, nebezpečný kámen se tvoří pod dásněmi, kde ho nevidíte, ale kde způsobuje nevratnou škodu.

Co je vlastně hluboký kámen?

Zubní kámen vzniká, když se plak - ten tenký, lepkavý film bakterií - necháte na zubech příliš dlouho. Plak se postupně vápenná a tvrdne. Když se tento kámen začne tvořit pod dásní, hovoříme o hlubokém kameni. Je to neviditelný útočník, který se zakopává mezi zubem a dásní, tvoří tzv. zubodásňový žabek. Tam, kde se kámen usadí, se dásně odplavují, vznikají dutinky, kde se shromažďují bakterie, a postupně se rozpadá kost, která drží zub na místě.

Nejčastější místa pro hluboký kámen jsou vnitřní strany dolních řezáků a vnější strany horních molárů. Tyto oblasti jsou těžko dostupné pro čištění, a proto se tam plak hromadí nejrychleji.

Co to vlastně znamená „hluboký“?

Hluboký kámen se odlišuje od povrchového tím, že se nachází pod dásní. Zatímco povrchový kámen můžete vidět a často ho i slyšíte, když si zubem škrábnete, hluboký kámen je skrytý. A právě proto je tak nebezpečný. Nevidíte ho, ale můžete cítit jeho důsledky.

Stomatologové měří hloubku zubodásňového žabku pomocí speciálního měřítka. Pokud je hloubka větší než 3-4 mm, je to známka zánětu a začínajícího parodontitidy. Kámen v této hloubce už není jen „špína“ - je to aktivní zdroj infekce.

Jak poznat, že máte hluboký kámen?

Není potřeba být stomatologem, abyste si všimli příznaků. Tady je, co byste měli sledovat:

  • Krvácení dásní při čištění zubů - to není normální. Když si čistíte zuby a krev se objeví, je to signál, že dásně jsou zánětlivé.
  • Červené, otoklé dásně - místo růžové barvy a pevného obrysu se dásně mění na barvu červené nebo fialové, zvětšují se a připomínají „puchýře“ kolem zubů.
  • Zápach z úst, který nezmizí ani po čištění - to není jen „špatný dech“, ale důsledek bakterií, které žijí v kameni a vytvářejí toxiny.
  • Časté pocit „cizího tělesa“ mezi zuby, i když jste si je právě čistili - to může být kámen, který se vždycky znovu objevuje.
  • Zuby, které se pohybují nebo se zdají být „volné“ - to je vážný příznak. Kost kolem zubu se rozpadá, a zub se začíná pohybovat.

Nejčastější chyba lidí? Čekají, až začne bolet. Ale kámen pod dásní nebojí se. Není to infekce, která vás bude mít na nohou. Je to pomalý, neviditelný proces - a proto je tak nebezpečný.

Křížový řez zubu s kamenem pod dásní a mezizubním kartáčkem, který symbolizuje prevenci.

Proč mezizubní kartáček je klíčový?

Obvyklý zubní kartáček čistí jen povrch zubů. Ale kámen pod dásní? Tam se dostane jen mezizubní kartáček. Ten má tenkou, tuhým štětinou, která se vejde do mezery mezi zuby a pod dásně. Je to jako mini-štěteček pro vaše skryté zuby.

Když se kámen začne tvořit pod dásní, čištění jen kartáčkem nestačí. Potřebujete nástroj, který se dostane tam, kde kartáček nedosáhne. Mezizubní kartáček je ideální pro tyto oblasti - ale jen pokud ho používáte správně.

Někteří lidé ho používají jako „škrábačku“ - a to je chyba. Měl by být lehce vložený mezi zuby, bez nátlaku. Pokud ho musíte „zatlačit“, je příliš velký. Vyberte si menší velikost. Většina lidí potřebuje velikost 0,8-1,0 mm.

Čistěte jednou denně, nejlépe večer. Nejprve si zuby pořádně očistěte kartáčkem, pak vezměte mezizubní kartáček a opatrně ho vložte mezi každý zub. Nepoužívejte ho jako „výměnku“ - jedna výměna = jedna čištění. Po 1-2 týdnech se štětina opotřebí - nahraďte ho.

Co dělat, když už máte hluboký kámen?

Nemůžete ho odstranit doma. Žádný kartáček, žádný pastičky, žádný vodní proud - to všechno pomůže jen předcházet. Ale když kámen už je pod dásní, je potřeba profesionální očištění.

Stomatolog použije ultrazvukový aparát a různé ruční nástroje, které odstraní kámen i z nejhlubších oblastí. Tento postup se nazývá parodontologická léčba. Je to nebojí se. Nejčastější reakce? „Nechal jsem to, až to začalo bolet.“

Nejlepší je jít na kontrolu každých 6-12 měsíců, pokud máte riziko. Kdo má riziko? Ti, kdo:

  • nečistí mezery mezi zuby
  • používají jen zubní kartáček
  • jsou kuřáci
  • mají cukrovku
  • už měli zánět dásní v minulosti

Naše klinika v Brně má pacienty, kteří si nechali odstranit kámen až po 15 letech. Výsledek? Ztráta 3 zubů. A to všechno jen proto, že si mysleli, že „to je jen špína“.

Symbolický obraz jednoho kameně pod dásní, který ničí kost a dásně, s časovou připomínkou 15 let.

Co dělat, abyste se vyhnuli hlubokému kameni?

Nejlepší léčba je prevence. Tady je, co funguje:

  1. Čistěte mezery mezi zuby každý den - mezizubní kartáček nebo niti. Kartáček je lepší pro začátečníky.
  2. Čistěte zuby dvakrát denně - 2 minuty, ne 30 sekund.
  3. Používejte pastu s fluoridem - ne „čistící“ nebo „bílící“.
  4. Nezapomeňte na jazyk - bakterie se tam také hromadí.
  5. Navštěvujte stomatologa každých 6 měsíců - i když nic nebojí.

Největší chyba? Přemýšlet, že „když nic nebojí, není to špatné“. Kámen nebojí. Když to začne bolet, je už pozdě.

Co je větší riziko - kámen nebo nečisté zuby?

Nečisté zuby? To je jen začátek. Kámen je výsledek. Ale když kámen vstoupí pod dásně, změní se z „povrchového problému“ na chronickou infekci. A ta může ovlivnit i vaše srdce, plíce a celkové zdraví. Studie z roku 2023 ukázaly, že lidé s parodontitidou mají o 40 % vyšší riziko srdečních onemocnění.

Když se kámen začne rozšiřovat pod dásní, tělo začne „bojovat“. A ta bojování je nákladné. Váš imunitní systém se spotřebovává na to, aby se bránil proti bakteriím v dásních. A co zůstane na ostatní systémy?

Když už jste si všimli příznaků - co dál?

Neměňte si pastu. Neměňte si kartáček. Pojďte na vyšetření. Ne na „přípravu na svatbu“ nebo „před výletem“. Na vyšetření, které může zachránit vaše zuby.

Nejlepší čas je teď. Předtím, než se kámen rozšíří. Předtím, než začnete cítit, že zuby jsou volné. Předtím, než se vám zub vysune a budete muset ho vytrhnout.

Nejde o to, jestli máte „hodně“ kamenů. Jde o to, jestli máte jakýkoli kámen pod dásní. Stačí jeden. A ten stačí, aby začal ničit.